Il tuo dentista con 40 anni di esperienza a Battipaglia
Contatta lo studio
Orari

Lunedì / Venerdì: 9:30 - 19:00
Via A. Meli , 15
84091
Seguici sui social
BATTIPAGLIA (SA)
Tel. 0828305355 / 3393074649
© Dott. Massimo Esposito - Dentista Battipaglia - P.IVA 02659500652
PEDODONZIA
Principali malocclusioni



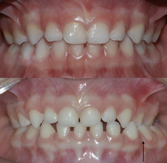
MORSO CROCIATO
Si verifica quando i denti superiori non si allineano correttamente con quelli inferiori, risultando “spostati” verso l’interno.
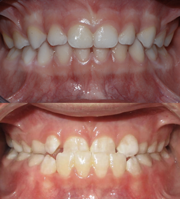
PROGNATISMO MANDIBOLARE
La mandibola è più sporgente del normale, causando un’inversione del morso.
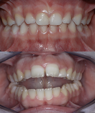
MORSO APERTO
Quando i denti anteriori superiori e inferiori non si toccano neanche a bocca chiusa.



MORSO PROFONDO
DIASTEMA DENTALE
Spazi eccessivi tra i denti, spesso tra gli incisivi superiori.
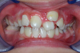
ERUZIONE ANOMALA
Prevenzione precoce : Un controllo regolare aiuta a prevenire carie, malocclusioni e altre patologie dentali.
Corretta eruzione dei denti : Monitorare la crescita dei denti da latte è essenziale per il corretto sviluppo della dentatura permanente.
Abitudini orali sane : Educare i bambini a una corretta igiene orale fin da piccoli riduce il rischio di problemi dentali in età adulta.
Prevenzione della paura del dentista : Un approccio delicato e giocoso aiuta i bambini a vivere le visite odontoiatriche senza ansia.
Trattamento precoce di malocclusioni : Identificare tempestivamente problemi di allineamento dentale permette di intervenire con terapie ortodontiche meno invasive.

SUZIONE NON NUTRITIVA
Quando e come intervenire?
- Età consigliata per eliminare il ciuccio: entro i 2-3 anni
- Età limite per interrompere la suzione: entro i 4 anni
PRENDITI CURA DEL TUO BAMBINO