Il tuo dentista con 40 anni di esperienza a Battipaglia
Lunedì / Venerdì: 9:30 - 19:00
Tel. 0828305355 / 3393074649
© Dott. Massimo Esposito - Dentista Battipaglia - P.IVA 02659500652
FACCETTE ESTETICHE IN CERAMICA
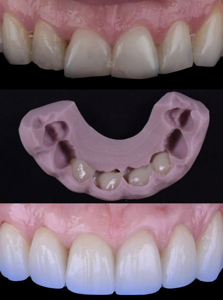
Le faccette dentali (o veneers) sono sottili lamine in ceramica applicate sulla superficie dei denti per migliorarne l'estetica e la forma. Grazie al loro minimo spessore (0,6 - 1 mm), offrono un risultato naturale senza danneggiare la struttura del dente. Questa soluzione minimamente invasiva garantisce un sorriso splendente e armonioso, con un effetto estetico eccellente e duraturo.
Le faccette dentali si modellano in base alle esigenze specifiche di ciascun paziente, adattandosi perfettamente alla sua dentatura. Grazie alla loro duttilità, sono ideali per correggere vari difetti estetici e funzionali, come forma, colore, lunghezza e posizione dei denti. Il risultato finale è un sorriso naturale, armonioso e perfettamente adattato al viso del paziente.
Queste faccette non richiedono alcuna preparazione del dente, il che significa che non è necessario rimuovere smalto (limare i denti). Sono ideali per chi desidera un intervento minimamente invasivo con un risultato estetico impeccabile.
Tuttavia, le faccette no-prep o additional, sono ottime soluzioni per migliorare l’estetica dentale in maniera minimamente invasiva, ma è fondamentale considerare anche le limitazioni del trattamento (faccette senza preparazione).
Oltre ai denti gravemente danneggiati e ai disallineamenti significativi, aggiungere uno spessore di materiale , su un dente “non preparato”, può effettivamente creare inestetismi, come un aspetto troppo voluminoso dei denti, o anche compromettere l’occlusione. In questi casi, l’aspetto estetico e funzionale potrebbe non essere ottimale e un trattamento più invasivo potrebbe risultare necessario per ottenere risultati più soddisfacenti e duraturi.
Quando considerare un approccio più invasivo?
Denti gravemente danneggiati o disallineati.
Quando l’aggiunta di materiale potrebbe alterare l’aspetto estetico e/o l’occlusione.
LA SOLUZIONE PIÙ ADATTA A TE
Quando scegliere le faccette “No-Prep” ?
Dentatura sana e ben allineata.
Correzione di piccoli difetti estetici.
L'ARCHITETTURA DEL VOLTO
Lo studio della forma dei denti in relazione all’architettura del viso è un passaggio fondamentale per lo studio di un sorriso armonioso e naturale. Ogni sorriso è unico, perché unico è il volto che lo ospita: per questo la forma, la lunghezza e le proporzioni dei denti vengono analizzate in modo dettagliato, tenendo conto delle caratteristiche estetiche e fisiognomiche del paziente.Attraverso fotografie professionali, analisi digitale e valutazione dei parametri facciali, il dentista identifica le linee guida anatomiche che definiscono l’equilibrio del viso:
- Simmetria facciale
- Linea del sorriso
- Contorno delle labbra
- Proporzioni verticali e orizzontali
- Forma del viso (ovali, triangolari, rotondi, squadrati…)
Questi elementi permettono di scegliere la morfologia dentale più adatta: denti più dolci e arrotondati per lineamenti delicati, più squadrati per conferire forza al sorriso, proporzioni studiate per valorizzare il profilo e armonizzare l’espressione.



Il mock-up dentale è una simulazione temporanea del tuo sorriso ideale, realizzata prima di procedere con qualsiasi trattamento definitivo. Grazie a questa tecnica, è possibile simulare come appariranno i denti una volta completato il lavoro, senza dover modificare permanentemente la struttura naturale.
Questo strumento permette di valutare forma, proporzioni e colore dei denti in anticipo, facilitando la comunicazione tra paziente e dentista.
Il mock-up può essere eseguito direttamente sui denti con materiali temporanei o digitalmente, tramite software di simulazione avanzati, offrendo un’anteprima realistica e dettagliata del risultato finale.
Oltre a fornire un’idea concreta del nuovo sorriso, il mock-up dentale permette di apportare correzioni e aggiustamenti prima dell’intervento definitivo, riducendo il rischio di risultati indesiderati e aumentando la sicurezza del paziente.
Tra i materiali più utilizzati vi sono la ceramica feldspatica e il disilicato di litio, entrambi scelti per le loro elevate qualità estetiche e funzionali.
Le faccette in ceramica feldspatica si distinguono per la straordinaria traslucenza e luminosità, caratteristiche che permettono di riprodurre fedelmente l’aspetto dello smalto naturale. Grazie alla loro versatilità, consentono una preparazione minimamente invasiva e garantiscono un risultato estetico estremamente armonioso, ideale per chi desidera un sorriso luminoso e naturale.
Le faccette in disilicato di litio, invece, uniscono un’eccellente resa estetica a una maggiore resistenza meccanica, risultando particolarmente adatte nei casi che richiedono maggiore robustezza e stabilità nel tempo.
Ogni faccetta viene realizzata artigianalmente e personalizzata in base alle caratteristiche del paziente, attraverso una pianificazione estetica e funzionale accurata. Il risultato finale è un sorriso armonico, naturale e duraturo, ottenuto con materiali biocompatibili e tecniche adesive d’avanguardia.
Quando scegliere le faccette dentali?
Lo smalto presenta alterazioni
Ideali in caso di opacità, ipoplasie, discromie legate a fluorosi o pigmentazioni di origine intrinseca o farmacologica.
È necessario sostituire vecchi restauri
Perfette per rinnovare otturazioni in composito datate o restauri poco estetici.
Sono presenti malposizioni o diastemi
Utili per correggere lievi disallineamenti o diastemi, migliorando l’armonia del sorriso.
Esistono difetti di forma o dimensione
Ideali per ridisegnare denti troppo piccoli, irregolari o con anomalie morfologiche.