Il tuo dentista con 40 anni di esperienza a Battipaglia
Lunedì / Venerdì: 9:30 - 19:00
Tel. 0828305355 / 3393074649
© Dott. Massimo Esposito - Dentista Battipaglia - P.IVA 02659500652
ODONTOIATRIA CONSERVATIVA
ODONTOIATRIA CONSERVATIVA
ODONTOIATRIA CONSERVATIVA
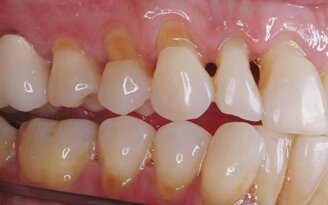
L'odontoiatria conservativa si occupa del trattamento e della cura delle carie dentali e delle lesioni che colpiscono i denti, con l'obiettivo di salvaguardare la struttura dentale naturale e prevenire la necessità di estrazioni, preservando , il più possibile , il tessuto dentale sano. Grazie a tecniche moderne e materiali altamente estetici, questa disciplina permette di ripristinare forma, funzione ed estetica del dente in modo minimamente invasivo. I trattamenti conservativi consistono nella rimozione delle parti compromesse e nella ricostruzione del dente tramite materiali di ultima generazione, perfettamente integrabili con il colore naturale del sorriso. L’approccio è studiato per garantire una lunga durata, un risultato estetico eccellente e il massimo comfort per il paziente.
L’odontoiatria conservativa non si limita alla cura della carie: comprende anche la prevenzione, la diagnosi precoce e l’intervento tempestivo per evitare problematiche più complesse, proteggendo nel tempo la salute orale di adulti e bambini.

Rimozione della carie: Eliminazione del tessuto danneggiato dalla carie per prevenire danni ulteriori.
Otturazioni estetiche: Ripristino della parte mancante del dente con materiali estetici ,come resine composite, che si adattano al colore naturale del dente.
Soluzioni conservative ed estetiche per i denti danneggiati
Gli intarsi dentali , inlay , onlay (o overlay) sono restauri dentali personalizzati che permettono di riparare denti danneggiati da carie, fratture o usura, preservando la struttura dentale sana. A differenza delle otturazioni tradizionali, questi restauri vengono realizzati in laboratorio e poi applicati sul dente, garantendo una perfetta adattabilità, maggiore resistenza e un risultato estetico naturale.
Gli inlay vengono utilizzati per ricostruire piccole cavità interne al dente, mentre gli onlay/overlay coprono anche le cuspidi o superfici più estese, offrendo una protezione completa della struttura dentale. Realizzati in materiali duraturi come ceramica o resine composite di alta qualità, questi restauri combinano funzionalità, estetica e durata nel tempo, rappresentando una scelta ideale per chi desidera un sorriso naturale senza ricorrere a soluzioni invasive.

La devitalizzazione, o terapia canalare, è una procedura odontoiatrica che rimuove la polpa infetta (il "nervo" del dente). Si rende necessaria in seguito a carie profonde, traumi o altre infezioni che coinvolgono la polpa, ed evita l'estrazione del dente. Dopo aver rimosso il tessuto malato, il dentista pulisce, disinfetta e sigilla i canali radicolari.
PERCHÈ È IMPORTANTE INCAPSULARE IL DENTE DEVITALIZZATO
Aumenta la resistenza del dente
Un dente devitalizzato perde parte della sua forza strutturale dopo il trattamento canalare. La devitalizzazione comporta l'eliminazione della polpa dentale, che indebolisce la struttura interna del dente, rendendolo più suscettibile a fratture a causa della perdita della vitalità e della riduzione di elasticità.
Estetica
Il dente devitalizzato può andare incontro a discromia (alterazione del colore) a distanza di tempo dal trattamento endodontico. Tale fenomeno è dovuto a modificazioni strutturali e chimiche della dentina e dei materiali endodontici, nonché alla perdita di traslucenza propria.
Clinicamente, il dente appare più opaco e scuro rispetto agli elementi adiacenti, con tonalità che possono variare dal grigio-bluastro, fino al nero nei casi più accentuati.
ABRASIONI DA SPAZZOLINO
Le abrasioni da spazzolino sono piccole lesioni dello smalto e del colletto dentale causate da una tecnica di spazzolamento troppo energica o da un uso scorretto dello spazzolino.
SINTOMI
Nel tempo, questo comportamento può portare alla formazione di solchi visibili sui denti, sensibilità al caldo e al freddo e, nei casi più avanzati, anche a problemi gengivali. Molti pazienti non si rendono conto che a danneggiare i denti non è la frequenza dello spazzolamento, ma la forza esercitata e la tecnica utilizzata.
Per prevenire le abrasioni è fondamentale scegliere uno spazzolino a setole morbide, utilizzare movimenti delicati e controllati e adottare una tecnica di igiene corretta, preferibilmente appresa con l’aiuto dell’igienista dentale. In presenza di abrasioni già formate, il dentista può intervenire con trattamenti specifici, come ricostruzioni estetiche o applicazione di materiali protettivi, per ripristinare funzionalità ed estetica del dente.

Competenza e cura al servizio del tuo sorriso