Il tuo dentista con 40 anni di esperienza a Battipaglia
Lunedì / Venerdì: 9:30 - 19:00
Tel. 0828305355 / 3393074649
© Dott. Massimo Esposito - Dentista Battipaglia - P.IVA 02659500652
Chirurgia Rigenerativa in Odontoiatria
RIGENERAZIONE OSSEA GUIDATA
La Rigenerazione Ossea Guidata è una tecnica chirurgica avanzata impiegata per favorire la rigenerazione dell’osso nelle aree in cui si è verificato un riassorbimento.
Il procedimento si basa sull’utilizzo di materiali da innesto , associati a membrane, con l’obiettivo di creare un ambiente protetto e stabile che permetta la rigenerazione ossea.
Grazie a questo approccio è possibile ripristinare un volume osseo adeguato, garantendo , sia la completa integrazione dell’impianto all’interno dell’osso, sia il corretto posizionamento dello stesso, necessario per una riabilitazione protesica esteticamente armoniosa.
L’obiettivo finale è quello di favorire una rigenerazione guidata e controllata, in grado di sostenere e stimolare i naturali processi di guarigione dell’organismo, assicurando risultati sicuri, duraturi e armoniosi.
INNESTO OSSEO CON BIOMATERIALE
Grazie alla presenza naturale di collagene, questo biomateriale favorisce la coagulazione del sangue e stimola la migrazione delle cellule coinvolte nei processi riparativi e rigenerativi.
Tali caratteristiche migliorano l’integrazione biologica e accelerano l’avvio della guarigione.
Il materiale è gradualmente riassorbibile, consentendo una rigenerazione ossea progressiva e stabile nel tempo.
La sua particolare composizione e struttura favoriscono la formazione di nuovo tessuto osseo e la neoangiogenesi, ossia la formazione di nuovi vasi sanguigni ,indispensabili per la vitalità del tessuto rigenerato.

Le membrane di collagene evolutive
La struttura della membrana, composta da fibre di collagene dense, di elevata consistenza e resistenza, la rende una valida scelta per proteggere e stabilizzare l'innesto osseo nella maggior parte delle procedure chirurgiche.La protezione dell'innesto da batteri e contaminazione alimentare è necessaria per consentire la guarigione dei tessuti duri e molli.
Lorem Ipsum dolor sit amet
RIALZO DEL SENO MASCELLARE
Il rialzo del seno mascellare è un intervento chirurgico necessario per inserire impianti dentali nei settori posteriori del mascellare superiore quando l’osso è insufficiente. Questa tecnica permette di aumentare lo spessore osseo, mediante l’innesto di biomateriali, creando una base stabile per l'inserimento dell' impianto dentale.
La perdita di denti posteriori può causare un progressivo riassorbimento osseo e un abbassamento del seno mascellare, una cavità naturale vuota rivestita da una membrana epiteliale.
Per compensare questa riduzione, si possono adottare due tecniche:
Mini rialzo del seno mascellare per deficit ossei lievi.
Grande rialzo del seno mascellare per riassorbimenti più significativi.
La scelta della tecnica più adatta dipende dall’altezza dell’osso residuo.
Processo e tempi di guarigione
Dopo l’intervento, l’innesto e la membrana richiedono alcuni mesi per integrarsi completamente con il tessuto osseo del paziente. Durante questo periodo si forma nuovo osso pronto ad accogliere l’impianto dentale.
I tempi di guarigione possono variare a seconda delle dimensioni del difetto osseo e dal tipo di biomateriale utilizzato.
Sicurezza e biocompatibilità
I biomateriali utilizzati sono rigorosamente testati e scelti in base alla loro capacità di integrarsi con l’organismo senza causare reazioni avverse. La combinazione con membrane biocompatibili garantisce risultati prevedibili e duraturi.
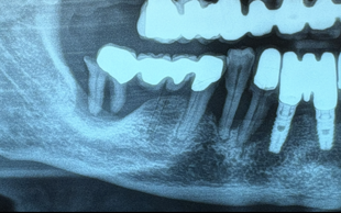
"Rigenerazione ossea guidata (GBR) in sede crestale mediante innesto osseo con biomateriale osteoconduttivo, ricoperto da membrana di collagene , in associazione a impianti dentali endossei. La procedura favorisce l’osteointegrazione degli impianti e la neoformazione di tessuto osseo alveolare."
"La CBCT (Cone Beam Computed Tomography) è una tecnologia avanzata di imaging tridimensionale che permette di visualizzare con precisione ossa, denti e strutture anatomiche del cavo orale. Grazie a immagini dettagliate e accurate, consente di pianificare in sicurezza interventi chirurgici, posizionamento di impianti dentali, rigenerazione ossea e monitoraggio della guarigione post-operatoria. La CBCT migliora la diagnosi, aumenta la sicurezza dei trattamenti e assicura risultati più predicibili.